Please enjoy these “before and after” photos of patients
treated in the office of Drs. Scherr, Sheehy and Schwartz:
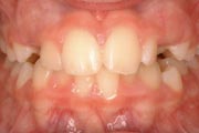
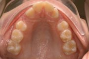
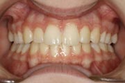
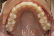
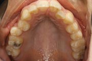
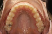
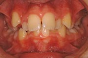
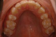
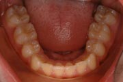
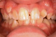
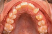
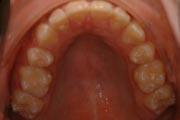
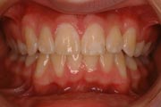
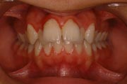
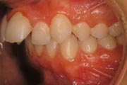
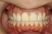
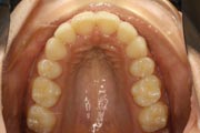
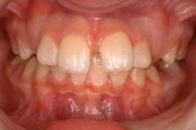
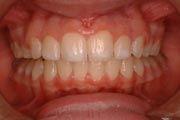
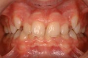
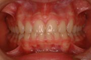
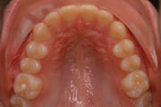
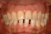
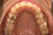
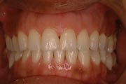
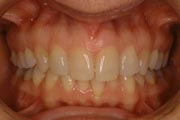
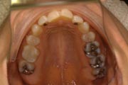
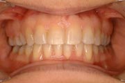
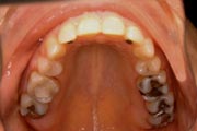
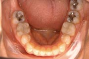
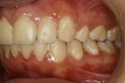
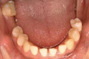
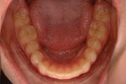
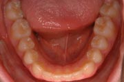
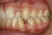
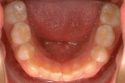
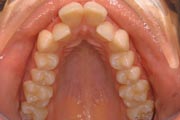
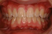
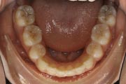
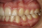
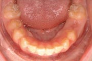
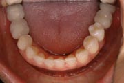
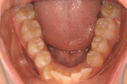
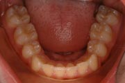
Crowding
Before


After


Before


After


Before


After


Before


After


Overbite
Before


After


Before


After


Deep Bite
Before


After


Underbite
Before


After


Adult Orthodontic Treatment
Before


After


